
후각 상실, 왜 즉시 확인해야 할까요?
냄새를 맡지 못하는 증상, 즉 후각 상실은 단순히 불편함을 넘어 건강 이상 신호일 수 있습니다. 초기 대응이 중요한 몇 가지 이유가 있습니다.
- 일상생활의 안전 위협: 가스 누출, 화재 등을 인지하지 못할 수 있습니다.
- 심각한 질병의 징후: 드물게는 뇌종양, 파킨슨병과 관련될 수 있습니다.
- 정신 건강에 영향: 미각 저하로 인한 식욕 부진, 우울감 등을 유발할 수 있습니다.
따라서, 후각 상실이 느껴진다면, 정확한 원인 파악과 조기 치료를 위해 병원을 방문하는 것이 매우 중요합니다.
후각 상실 경험, 혹시 있으신가요? 여러분의 경험을 공유해주세요.
후각 상실의 다양한 원인
후각 상실은 다양한 원인으로 발생하며, 원인에 따라 치료법과 예후가 달라질 수 있습니다. 주요 원인은 다음과 같습니다.


주요 원인
- 바이러스 감염: 감기, 독감 등이 후각 신경에 염증을 일으켜 일시적 후각 상실 유발
- 코 질환: 알레르기 비염, 축농증, 비중격만곡증 등이 후각 경로를 막아 후각 기능 저하
- 신경 질환: 파킨슨병, 알츠하이머병 등이 후각 신경 손상시켜 후각 상실 초래 (드물지만 심각)
- 외상: 머리 부상으로 후각 신경 손상되어 후각 상실 발생 가능
- 약물 및 화학 물질: 특정 약물(항생제, 항히스타민제 등)이나 화학 물질 노출이 후각 상실 유발
- 기타: 노화, 영양 결핍, 호르몬 변화 등도 후각 기능에 영향
특히, 바이러스 감염으로 인한 후각 상실은 대부분 일시적이지만, 신경 질환이나 외상으로 인한 경우 회복이 어려울 수 있습니다. 코로나19 감염 후 후각 상실을 경험하는 경우도 증가하고 있습니다.
다음 섹션에서는 후각 상실의 정확한 진단을 위한 검사 방법에 대해 자세히 알아보겠습니다.
후각 상실, 어떤 검사가 필요할까요?
후각 상실의 원인을 정확히 파악하기 위해서는 체계적인 검사 절차가 필요합니다. 다음은 일반적으로 시행되는 검사들입니다.


주요 검사 방법
- 병력 청취 및 이비인후과 검진: 증상 시작 시점, 지속 기간, 동반 증상 등을 확인하고, 코와 부비동 상태를 내시경으로 관찰합니다.
- 후각 기능 검사: 다양한 농도의 냄새 물질을 제시하여 환자의 후각 인지 능력, 식별 능력, 역치 등을 측정합니다. 대표적인 검사로 KPIT (Korean version of the phenyl ethyl alcohol test)가 있습니다.
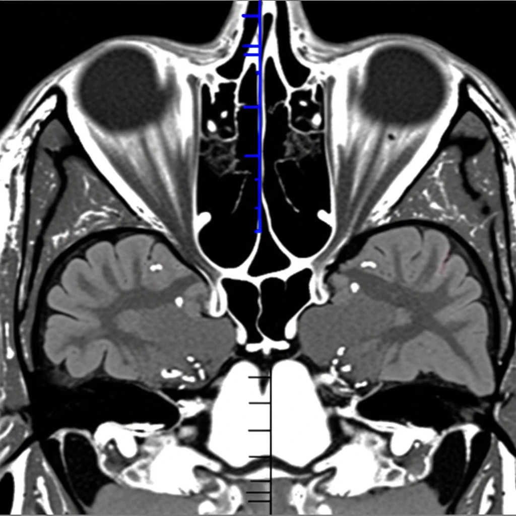
- 영상 검사: CT나 MRI를 통해 코, 부비동, 뇌의 구조적 이상(종양, 염증 등)을 확인합니다.
- 혈액 검사: 특정 질환(알레르기, 감염 등)과의 연관성을 확인하기 위해 시행할 수 있습니다.
내시경 검사는 코와 부비동의 질환을 진단하는 데 필수적이며, 후각 기능 검사는 객관적인 후각 능력 평가에 중요한 역할을 합니다. 필요에 따라 영상 검사와 혈액 검사를 추가하여 정확한 원인을 파악합니다.
정확한 검사 결과를 바탕으로, 다음 섹션에서는 후각 상실의 다양한 치료법에 대해 알아보겠습니다.
후각 상실, 어떻게 치료해야 할까요?
후각 상실의 치료는 원인 질환과 후각 신경 손상 정도에 따라 맞춤형으로 접근해야 합니다.

원인별 치료법
- 감기, 알레르기 비염: 원인 질환 치료 (항히스타민제, 스테로이드 스프레이 등)
- 축농증, 코 물혹: 약물 치료 (항생제, 스테로이드) 또는 수술적 치료
- 신경 질환: 후각 훈련, 약물 치료 (경우에 따라)
- 외상: 경과 관찰, 후각 훈련, 수술 (신경 손상 정도에 따라)
후각 훈련
후각 훈련은 후각 신경 회복을 돕는 중요한 치료법입니다. 레몬, 유칼립투스, 장미, 정향 등 4가지 강한 냄새를 하루 두 번, 10-15초씩 맡으면서 냄새를 기억하는 훈련을 반복합니다. 꾸준한 훈련이 후각 기능 개선에 도움이 됩니다.
후각 상실 치료는 원인 진단이 우선이며, 전문의와 상담하여 개인별 맞춤 치료 계획을 수립하는 것이 중요합니다.
후각 상실 치료, 포기하지 마세요! 적극적인 치료와 관리를 통해 후각 기능을 회복할 수 있습니다.
자주 묻는 질문 (FAQ)
후각 상실과 관련하여 자주 묻는 질문들을 정리했습니다.
Q: 냄새를 못 맡으면 어떤 문제가 생길 수 있나요?
A: 후각 상실은 단순히 냄새를 못 맡는 것을 넘어 다양한 문제를 야기할 수 있습니다.
- 미각 변화: 음식 맛을 제대로 느끼지 못해 식욕 부진 초래
- 안전 문제: 가스 누출, 화재 등 위험 상황 인지 불가능
- 심리적 영향: 우울감, 불안감, 사회적 위축 유발 가능
Q: 후각 상실은 영구적으로 지속될 수 있나요?
A: 후각 상실이 영구적인 경우는 드물지만, 원인과 손상 정도에 따라 다릅니다. 신경 손상이나 심각한 뇌 질환이 원인인 경우 회복이 어려울 수 있습니다.
Q: 후각 훈련은 어떻게 하는 건가요?
A: 후각 훈련은 특정 냄새(예: 레몬, 유칼립투스, 장미, 정향)를 하루 두 번, 아침저녁으로 각각 10-15초씩 맡으면서 냄새를 기억하는 훈련입니다. 꾸준한 훈련이 중요하며, 전문가의 지도를 받는 것이 좋습니다.
'건강정보' 카테고리의 다른 글
| 편도선염 방치하면 큰일, 합병증과 치료 시기 (0) | 2025.05.01 |
|---|---|
| 편도염, 방치하면 큰일나요! 증상과 치료법 완벽 분석 (0) | 2025.05.01 |
| 후각 저하 방치하면 치매 위험 후각 건강 지키는 법 (0) | 2025.05.01 |
| 코피 멈추는 법부터 예방까지! 코 건강 지키는 비법 (0) | 2025.05.01 |
| 콧물, 코막힘, 안면통증 부비동염 진단과 치료의 모든 것 (0) | 2025.05.01 |
댓글